Zmęczeniowe złamania kości to coraz częstszy problem występujący u biegaczy. Podczas konferencji "Sportowiec-Amator", zorganizowanej w Warszawie przez Centrum Chirurgii Specjalistycznej Ortopedika i Komisję Medyczną Polskiego Komitetu Olimpijskiego, rozmawialiśmy na ten temat z doktorem Mikołajem Wróblem, specjalistą ortopedii narządu ruchu w Ortopedice, zajmującym się przede wszystkim urazami sportowymi.
"Sportowiec-Amator". Wszystko o treningu, zdrowiu, odżywianiu
– U kilkorga moich znajomych biegaczy lekarze zdiagnozowali ostatnio zmęczeniowe złamania kości. Czy jest to tak częsty uraz u biegaczy-amatorów, czy mam do czynienia tylko ze zbiegiem okoliczności?
– Złamania zmęczeniowe to około 16 procent wszystkich urazów towarzyszących bieganiu. Bieganie jest sportem, który powoduje przede wszystkim urazy przeciążeniowe, tu nie ma właściwie urazów ostrych, chyba że ktoś wpadnie w dziurę czy pechowo się przewróci.
– Czym w takim razie jest złamanie zmęczeniowe?
– Złamanie zmęczeniowe powstaje wtedy, gdy następuje zaburzenie równowagi pomiędzy obciążeniem kości, które staje się nadmierne, a czasem poświęconym na regenerację.
– Za dużo biegamy, a za mało odpoczywamy?
– Tak, brakuje przerw na regenerację. Ze złamaniami zmęczeniowymi trafiają do mnie dwie grupy ludzi. Pierwsza to biegacze na wysokim poziomie amatorskim, którzy przygotowując się do bicia rekordu życiowego albo startu np. w maratonie tokijskim czy nowojorskim, zwiększają obciążenia treningowe. Mieli jakąś infekcję, są trochę osłabieni, ale zależy im bardzo na celu, bo to impreza lub wynik prestiżowy. Oni wtedy, choć i tak już idą na granicy przeciążenia trenując bardzo intensywnie, katują organizm i przekraczają tę cienką granicę.
Najbardziej zaskakujące złamania zmęczeniowe produkuje jednak druga grupa pacjentów. To ludzie, którzy na co dzień nie uprawiają sportu, ale odkrywają bieganie jako lekarstwo na coś w swoim życiu. Mają często stres emocjonalny i uciekają od problemów w bieganie. W ten sposób wyładowują się, tak, jak niektórzy idą w picie i narkotyki, oni – w bieganie. Często trafiają w ręce zbyt ambitnych trenerów, którzy dodatkowo mają niewystarczające przygotowanie do szkolenia zawodnika i udzielają im nie najlepszych (powiedzmy tak eufemistycznie) zaleceń.

– Niedawny przykład: dwudziestokilkuletnia kobieta, która bieganie faktycznie traktuje jako odskocznię. Trafiła na trenera, który obiecał w ciągu roku przygotować ją do maratonu. I ona rzeczywiście, w ciągu roku od czasu, gdy poszła do sklepu kupić buty biegowe, przebiegła maraton, co jest wbrew wszelkim zaleceniom! Rozsądne i z głową prowadzone przygotowanie do pierwszego maratonu powinno trwać ok. 3 lat. Tydzień po maratonie zgłosiła się do mnie z silnym bólem w pośladku. Okazało się, że w czasie tego biegu złamała zmęczeniowo miednicę!
To, oczywiście, niewielki odsetek złamań zmęczeniowych, ale bardzo spektakularne i niebezpieczne, bo może doprowadzić do trwałego kalectwa. To świadczy o tym, jak źle miała poprowadzony trening, jak brakowało jej regeneracji przy intensywnym treningu (od zera do maratonu w ciągu roku!) i ile popełniono błędów funkcjonalnych oraz błędów w technice samego biegu, do tego jeszcze źle dobrane obuwie. Wszystkie te czynniki plus zaburzenia hormonalne spowodowały, że ona wyprodukowała złamanie zmęczeniowe, które ja pokazuję na prezentacjach jako coś wyjątkowego.
– Wyliczmy zatem zwięźle najważniejsze przyczyny złamań zmęczeniowych u biegaczy.
– Absolutnie numer jeden – to brak odpoczynku między treningami. Dlatego kiedyś były złamania marszowe żołnierzy: musieli pokonywać długie dystanse pieszo i łamali sobie kości, ponieważ nie mieli czasu na odpoczynek. Numer 2 – to metabolizm, waga, zaburzenia hormonalne i niedobór witaminy D. Te czynniki znacząco zwiększają ryzyko złamania zmęczeniowego. Brak witaminy D oraz niedobór testosteronu u mężczyzn i estrogenów u kobiet osłabiają kości. A osteoporoza pomenopauzalna jest, niestety, chorobą społeczną. Numer 3 – to wiek. Im człowiek jest starszy, tym potencjał regeneracyjny ma mniejszy, tym więcej czasu na odpoczynek potrzebuje. Tu ważne: z wiekiem nie powinno się obniżać intensywności treningów, ale trzeba wydłużać odstępy między nimi. I numer 4 – to palenie: ograniczenie krążenia obwodowego poprzez obkurczenie naczyń krwionośnych także upośledza odżywienie kości i prowokuje do złamań.
– Co, jakie kości, łamiemy najczęściej z powodu przeciążenia?
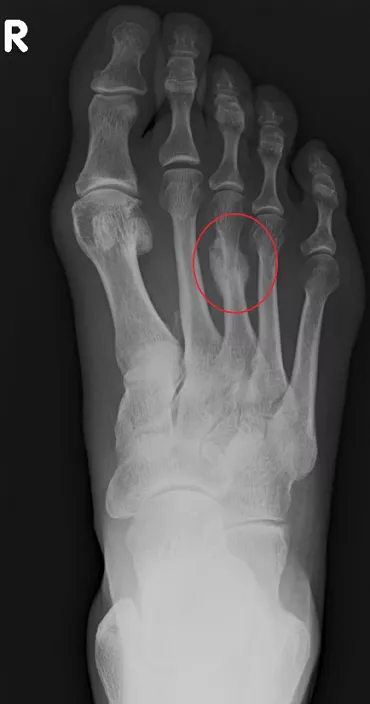
– Biegacze najczęściej łamią kości śródstopia, przede wszystkim drugą, trzecia i czwartą. Nieco rzadziej zdarzają się złamania kości w podudziu, piszczelowej i strzałkowej, rzadko złamania szyjki kości udowej i miednicy, które są najniebezpieczniejsze i wymagają najbardziej radykalnego leczenia, łącznie z operacją.
– A czym złamanie zmęczeniowe różni się od tego „klasycznego”, ostrego? Tylko tym, w jaki sposób powstaje?
– Różni się zasadniczo. Przy złamaniu tzw. „klasycznym”, jeżeli ktoś np. wpadnie w dziurę i złamie nogę, powstaje krwiak, a na bazie tego krwiaka - "bioreaktor" stymulujący gojenie. Dlatego w pierwszej fazie gojenia powstaje tam dużo naczyń krwionośnych, które zapewniają dobre zaopatrzenie, odżywienie i złamanie goi się dobrze. Tak jest z większością "klasycznych" złamań, nawet leczonych zachowawczo. Rozwieję przy okazji mit: my leczymy złamania operacyjnie nie po to, żeby kości szybciej się zrastały, tylko żeby odtworzyć ich prawidłowy kształt, żeby zrosły się prawidłowo.

– A czy wykrywalność obu typów złamań jest tak samo łatwa? Jeżeli połamiemy sobie nogę „na ostro”, wiemy o tym od razu…
– I to samo dotyczy złamania zmęczeniowego: jeżeli zaczyna nas boleć, to znaczy, że ono się już dokonało. Do udania się do lekarza powinien skłonić każdy ból nawracający czy utrzymujący się w trakcie lub po aktywności fizycznej. Początkowo będzie bolało tylko w trakcie treningów, ale przy każdym biegu, często już po pierwszym, drugim kilometrze. Jeżeli powtarza się więcej niż trzy razy – to jest już ból nawracający i trzeba się zgłosić do lekarza. Lepiej w takim przypadku być nadgorliwcem. A biegacze, niestety, mają tendencje do ignorowania, lekceważenia bólu.
Dalej… jeżeli ból zaczyna występować już po wysiłku, to już może być poważniejsza sprawa i wtedy też lekarz musi to zobaczyć. Zróbcie usg, zróbcie rentgen i sprawdźcie, co się dzieje. Koniecznie do lekarza! Ja wiem, że teraz fizjoterapeuci są coraz lepiej wyposażeni i wykształceni, mają coraz większą wiedzę, ale zaczyna panować przekonanie, że lekarz jest zbędnym ogniwem w leczeniu biegacza. Często, w banalnych urazach typu przeciążenie łydki, spięcie karku czy spięcie lędźwi, jest to prawda. Ale może się przy okazji zdarzyć, że przegapimy przepuklinę w odcinku lędźwiowym, która wymaga leczenia operacyjnego, przeoczymy tworzące się złamanie zmęczeniowe, które przez to zaczynamy leczyć zbyt późno… nie pomijałbym więc lekarza w tym łańcuchu. My jeszcze nie jesteśmy całkowicie, zbędnym ogniwem! A diagnostyka to raczej ortopeda niż lekarz ogólny i zarówno usg, jak i rentgen, bo usg jest metodą bardziej czułą, ale za to zdjęcie rtg łatwiej wykonać.
– Ale biegacze skarżą się często, że podstawowe zalecenie lekarza przy każdej dolegliwości to: „przestać biegać!”. A to jest przecież dla biegacza-amatora bardzo często wręcz nie do przyjęcia.
– Tak. To ostatnie, co pan powiedział, jest prawdziwym problemem dla lekarza w pracy z biegaczami. Bo prawdą jest, że nie da się wyleczyć, wygoić złamania zmęczeniowego biegając. Złamanie zmęczeniowe przekształci się w takiej sytuacji w złamanie otwarte. Wtedy sytuacja jest już jasna: jeśli pacjent już zobaczy na zdjęciu rentgenowskim, że kość jest przekrzywiona i pęknięta, to zaczyna się słuchać. Tylko dlaczego tak późno?! Niestety, trzeba zrobić przerwę w treningach i startach. Czasem to oznacza nawet utratę sezonu, to prawda. Ale lepiej stracić sezon, niż trwale utracić zdrowie.
Podsumowując: złamania zmęczeni owe są istotnym problemem wśród biegaczy-amatorów, głównie ze względu na tendencję do ignorowania i bagatelizowania objawów. To powoduje, że duża część tych urazów przychodzi do nas już w stadium bardzo zaawansowanym, a niektóre wymagają już leczenia operacyjnego.
– Wygląda na to, że największym problemem kontuzjowanego biegacza nie jest uraz, a jego „głowa”
– Coś w tym jest… Najtrudniejsze dla nas w leczeniu pacjenta jest uzyskanie jego akceptacji sytuacji. Pacjent musi się pogodzić z tym, że ma problem, a jego rozwiązanie będzie o kosztowało przede wszystkim dużo czasu. Cierpliwość jest cechą najtrudniejszą do „wyszkolenia” u pacjenta. Przekonanie go do tego, że trzeba odpuścić jest największym wyzwaniem. Nie samo leczenie, tylko współpraca mentalna z pacjentem. Bo nie ma drogi na skróty. Nie da się pobiegać między jedną a drugą wizytą u lekarza. Między tymi wizytami jest czas na rehabilitację! I tutaj rzecz bardzo ważna: my nie możemy zabrać pacjentowi całej aktywności fizycznej. Musimy ją zmodyfikować. Jeżeli to jest złamanie zmęczeniowe stopy – to trzeba mu zaproponować na rehabilitacji ćwiczenia w odciążeniu, jazdę na owerze, ćwiczenia izometryczne, basen: wszystko, co nie obciąża bezpośrednio kości. Nie wolno nam zaoferować bezruchu, a przede wszystkim nie wolno zakładać pacjentowi gipsu. Unieruchomienie jest ostatecznością i gipsu w leczeniu urazów przeciążeniowych u sportowców nie stosujemy. Kropka.
rozmawiał Piotr Falkowski
